Loading...
Loading...
Loading...
OUR SERVICES

Crown & Bridge

Strengthen Your Smile

error
error

Crown & Bridge

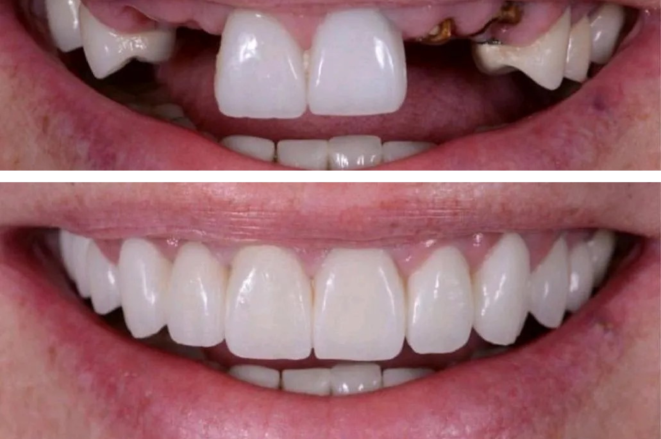
At Smile Works Dental Care, led by Dr. Siddhartha Puppala, we specialize in top-tier crown and bridge solutions designed to restore your smile’s functionality and beauty. Located in Manikonda, Hyderabad, our clinic offers a comprehensive range of dental crown and bridge treatments, ensuring that every patient leaves with a confident, healthy smile. Whether you're dealing with damaged, missing, or worn teeth, our advanced dental solutions can help. Our team is committed to providing quality dental bridges in Manikonda and affordable dental crowns in Hyderabad with a focus on patient comfort and satisfaction.

Our crown and bridge services are tailored to meet your individual needs. With years of experience, our Prosthodontist brings expertise in crown and bridge dentistry in Manikonda, ensuring precision and care in every procedure. Choose us for expert dental crowns and bridges in Hyderabad and experience the difference that a personalized approach can make.

Pricing of Crown and Bridge in Hyderabad

At Smile Works Dental Care, we believe in transparency when it comes to pricing. The cost of crown and bridge treatments varies based on the complexity of the case and the materials used. Generally, dental crowns and bridges are priced competitively to ensure you receive affordable dental crowns in Hyderabad without compromising quality. During your initial consultation, we will provide a detailed cost estimate, including any potential additional expenses, so you can make an informed decision.

We understand that cost is an important factor for many of our patients. That's why we offer flexible payment options including EMI to make our crown and bridge solutions in Manikonda accessible to everyone. Contact us for a personalized quote and discuss how we can accommodate your financial needs while delivering exceptional care.

Timings and Duration of Crown and Bridge Treatment

Smile Works Dental Care operates with flexible timings to accommodate your busy schedule. Our clinic is open from 9:30 AM to 8:00 PM on weekdays and 9:30 AM to 2:00 PM on sundays. This allows you to schedule your appointments at a time that is convenient for you. The duration of crown and bridge treatments depends on the complexity of the case. Typically, the process involves multiple visits spread over a few weeks. The initial visit includes diagnostics and planning, while the subsequent visits involve the fitting and final placement of the crowns or bridges. Our team ensures that the treatment timeline is communicated clearly so you can plan accordingly.

Step-by-Step Process of Crown and Bridge"

“From assessment to placement experience a seamless crown and bridge journey”

Our crown and bridge procedure begins with a thorough examination and assessment by Dr. Siddhartha Puppala. The first step is to prepare the affected tooth or teeth by reshaping them to fit the crown or bridge. Impressions are then taken to create custom dental crowns and bridges that match your natural teeth.

Once your custom crowns or bridges are ready, we schedule a follow-up appointment to ensure a perfect fit and make any necessary adjustments. Finally, the crowns or bridges are securely cemented into place. Throughout the process, we focus on ensuring that you are comfortable and well-informed, making our dental restoration in Manikonda as seamless as possible.

Side Effects and Aftercare of Crown and Bridge

Most patients experience minimal side effects following crown and bridge treatments. You might feel some temporary sensitivity or mild discomfort, which typically resolves within a few days. It is important to follow our aftercare instructions to ensure optimal healing and longevity of your dental crowns and bridges.

Our team provides detailed guidance on maintaining your dental crowns and bridges, including proper oral hygiene practices and dietary recommendations. Should you experience any unusual symptoms or have concerns, don’t hesitate to reach out to us. We are here to ensure your experience with our crown and bridge solutions in Manikonda is smooth and positive.

Medication and Post-Treatment Care for Crown and Bridge

After your crown or bridge placement, you may be prescribed medications to manage any discomfort or prevent infection. Pain relievers and anti-inflammatory medications are typically recommended if needed. Our team will provide you with specific instructions on how to take these medications and care for your new dental work.

It’s crucial to follow post-treatment care instructions to avoid complications and ensure the best results. Regular check-ups will be scheduled to monitor your progress and make any necessary adjustments. We pride ourselves on offering custom dental bridges in Hyderabad that are both functional and aesthetically pleasing.

Why Choose Us for Crown and Bridge Treatments?

Choosing Smile Works Dental Care means opting for excellence in dental care. Dr. Siddhartha Puppala’s and Our Team's expertise in best crown treatments in Hyderabad ensures that you receive top-quality care tailored to your specific needs. Our state-of-the-art facilities and commitment to patient comfort set us apart as a leading provider of crown and bridge dentistry in Manikonda.

We use the latest technology and techniques to provide durable, aesthetically pleasing results. Our team is dedicated to making your experience as smooth and positive as possible. With a focus on personalized care and affordable solutions, we are your trusted partner for expert dental crowns and bridges in Hyderabad.

Frequently Asked Questions

You May Ask

Dental crowns are caps placed over damaged or weakened teeth to restore their shape, size, and strength.
A dental bridge is a prosthetic device used to replace one or more missing teeth by anchoring to adjacent teeth or implants.
With proper care, dental crowns and bridges can last between 10 to 15 years or longer.
The procedure is generally not painful, though you may experience some discomfort or sensitivity during the recovery period.
Maintain good oral hygiene by brushing and flossing regularly, and visit your dentist for routine check-ups.
The cost varies based on the complexity and materials used. We provide affordable options and transparent pricing.
Yes, you can eat normally, but it's advisable to avoid very hard or sticky foods to ensure longevity.
Risks are minimal but may include temporary sensitivity or discomfort. Follow post-treatment care to minimize risks.
We offer expert care, affordable solutions, and personalized attention to ensure the best results for your dental needs.
The entire process typically involves multiple visits over a few weeks, depending on the complexity of the case.

© 2024 SMILE WORKS Dental Care. All Rights Reserved.

Designed by The Patterns Company