Loading...
Loading...
Loading...
OUR SERVICES

Digital Smile Designing

your smile, our masterpiece

error
error

Digital Smile Designing

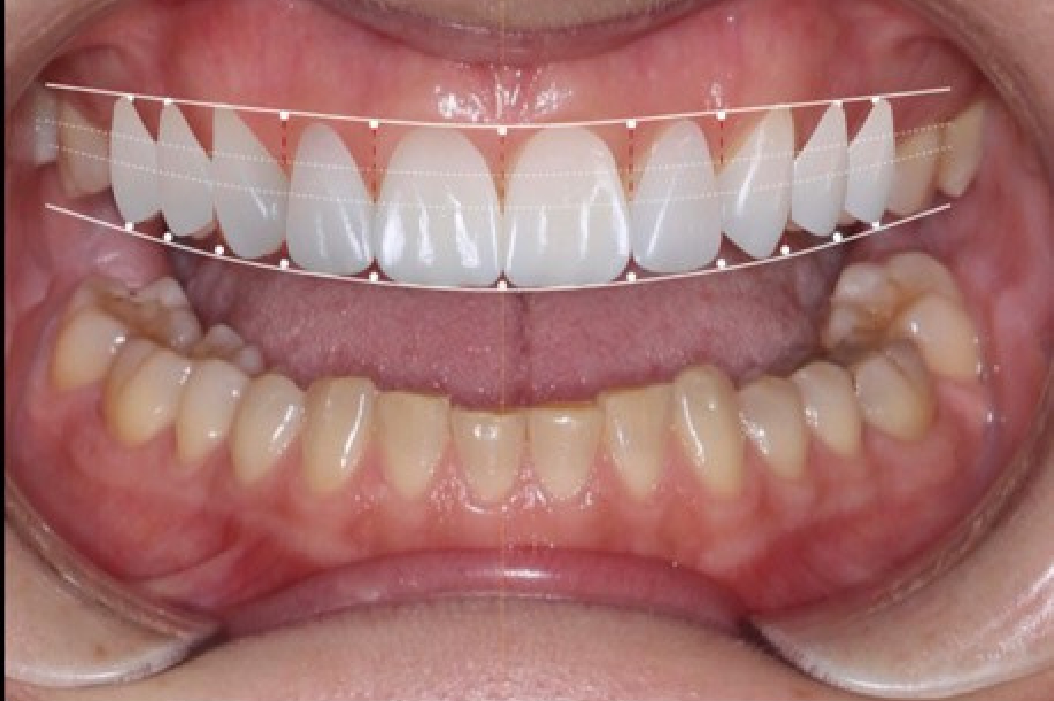
A perfect smile is more than just having white aligned teeth, it's about creating a harmony with your facial proportions & structure.

With Digital Smile Designing, our expert team collaborates with you to co-design your new smile. Using cutting-edge technology, we analyze your facial features & customize your smile to enhance your natural beauty & boost your confidence.

Schedule your consultation today & take the first step towards a brighter, more confident smile!

Elevate your confidence with a flawless smile transformation. Discover the art and science behind Digital Smile Designing today!

“Unveil your perfect smile with cutting-edge Digital Smile Designing”

At Smile Works Dental Care, we offer state-of-the-art Digital Smile Designing (DSD) in Manikonda, Hyderabad, to help you achieve the smile of your dreams. Our advanced digital technology ensures precise, customized smile makeovers tailored to your unique facial features and personal preferences. With a focus on cosmetic excellence and patient satisfaction, our team is dedicated to delivering exceptional results through innovative smile design technology

  • Initial Consultation:Your journey begins with a detailed consultation where we discuss your smile goals, preferences, and expectations. We use advanced digital imaging technology to capture high-resolution images of your teeth and facial structure.

  • Digital Design:Using sophisticated software, our team crafts a customized smile design that aligns with your aesthetic desires and facial features. You’ll receive a virtual preview of your new smile before proceeding.

  • Approval and Treatment: After reviewing and approving the digital design, we move forward with the necessary treatments, which may include veneers, crowns, or other cosmetic procedures to achieve the final result.

  • Final Adjustment:Once the treatments are complete, we conduct a final assessment to ensure your smile is perfectly aligned and meets your expectations.

Affordable Excellence in Smile Design

At Smile Works Dental Care, we believe in providing top-notch Digital Smile Designing services at competitive rates. The cost of a digital smile makeover can vary based on individual needs and the complexity of the design. On average, prices start at INR 15000/- and can go up depending on the scope of the treatment. We offer personalized consultations to provide accurate quotes and ensure transparency in our pricing.

Flexible Appointment Scheduling for Your Convenience

We understand the importance of fitting dental care into your busy schedule. Our Digital Smile Designing consultations and treatments are available with flexible timing to accommodate your needs. Appointments can be scheduled throughout the week, including weekends, to ensure you receive the care you need at a time that works best for you.

Efficient and Effective Smile Transformations

The duration of a Digital Smile Designing process typically ranges from 2 to 4 weeks. The initial consultation includes a comprehensive evaluation and digital imaging, followed by the design phase where we create your customized smile plan. Once approved, the final adjustments and treatments are carried out to ensure optimal results. Each step is meticulously designed to provide a seamless and efficient experience.

Safe and Minimal Side Effects

Digital Smile Designing is a non-invasive procedure with minimal risks and side effects. Most patients experience only minor temporary discomfort or sensitivity during the treatment phase. Our expert team ensures that you are well-informed about any potential side effects and provides guidance on how to manage them effectively.

Guidance on Medication and Aftercare

Typically, no extensive medication is required post-treatment. However, depending on the procedures involved, we may prescribe mild pain relievers or topical applications to ensure your comfort during the healing process. Our team will provide detailed aftercare instructions and be available for any follow-up consultations to address your concerns.

Dr. Siddhartha Puppala: Expert in Digital Smile Designing

Dr. Siddhartha Puppala is a certified and renowned expert in Digital Smile Designing in Manikonda, Hyderabad. With years of experience in cosmetic and digital dentistry, Dr. Puppala utilizes the latest technology to deliver precise and aesthetically pleasing smile makeovers. His dedication to excellence and personalized patient care ensures that every smile transformation is executed with skill and precision.

Why Choose Us for Digital Smile Designing

At Smile Works Dental Care, we are committed to providing unparalleled Digital Smile Designing services. Our clinic stands out for its use of advanced smile design technology, personalized treatment plans, and a patient-centric approach. Our team’s expertise, combined with state-of-the-art equipment, ensures that you receive a high-tech smile design that not only enhances your appearance but also boosts your confidence. Choose us for a transformative smile experience tailored to your unique needs.

Frequently Asked Questions

You May Ask

Digital Smile Designing is a process that uses advanced digital technology to create a customized smile makeover plan based on your facial features and preferences.
The entire process typically takes 2 to 4 weeks, including consultation, design, and treatment phases.
Side effects are minimal and usually involve minor discomfort or sensitivity.
Typically, no extensive medication is required; mild pain relievers or topical applications may be prescribed.
Dr. Puppala is known for his expertise in Digital Smile Designing, utilizing advanced technology and personalized care to achieve exceptional results.
Smile Works Dental Care offers advanced technology, expert care, and customized solutions to deliver a high-quality, personalized smile transformation experience.

© 2024 SMILE WORKS Dental Care. All Rights Reserved.

Designed by The Patterns Company